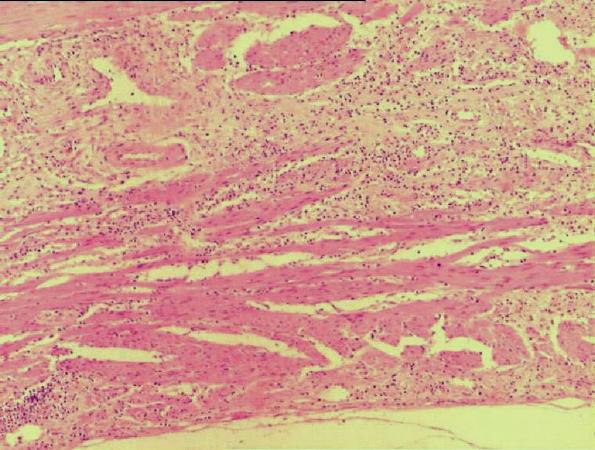
Richtung Ulkusgrund
Magenulkus
<
Legende
Glatte Muskel fasern
MIKROPATHOLOGIE
MAKROPATHOLOGIE
W
E
I
T
E
R
E
V
E
R
G
R
Ö
S
S
E
R
U
N
G
E
N
>
Fibrose der Propria unter dem Ulkusgrund
Serosa