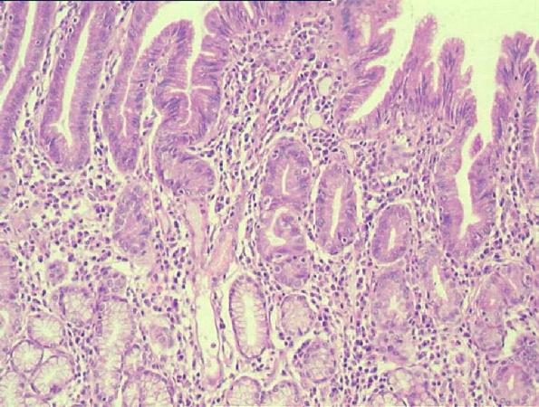
Angrenzende Magenmukosa mit chronischer Gastritis
Magenulkus
<
>
Legende
Intraepitheliale Lymphozyten
Muköse Lymphozyten
MIKROPATHOLOGIE
MAKROPATHOLOGIE
W
E
I
T
E
R
E
V
E
R
G
R
Ö
S
S
E
R
U
N
G
E
N
>