



ANAMNESE
/ KLINIK:
Patient, 56, abdominelle Schmerzen, Abwehrspannung und extrem erhöhte
Entzündungsparameter.
BEFUND:
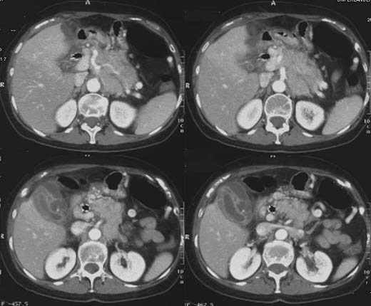
CT-Abdomen
nach i.v. und oraler Kontrastmittel-Gabe.
Um die wandverdickte kontrastmittelaufnehmende
Gallenblasenwand mehrere zum Teil liquide,
zum Teil septierte
randständige kontrastmittelaufnehmende Formationen.
DIAGNOSE:
Perforierte
Gallenblase mit Abszessbildung auf dem Boden einer akuten Cholezystolithiasis.
Informationen aus dem Internet:




