



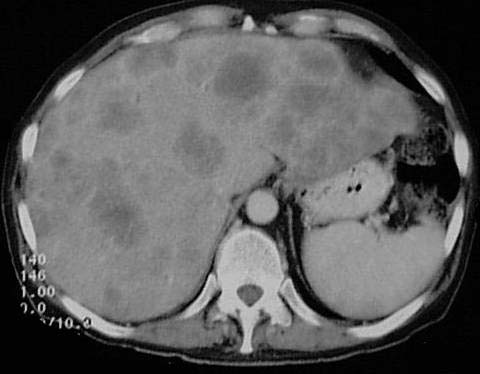
ANAMNESE
/ KLINIK:
Patient, 55 Jahre alt, Z.n. Colon-Karzinom.
BEFUND:
Multiple
weichteildichte Rundherde in
der Leber.
DIAGNOSE:
Lebermetastasen bei
bekanntem Colon-Karzinom.
Informationen aus dem Internet:
1) Ultraschallatlas
2) Medicine worldwide
3) AWMF
4) KGU
5) Uni Frankfurt
6) Chorus




