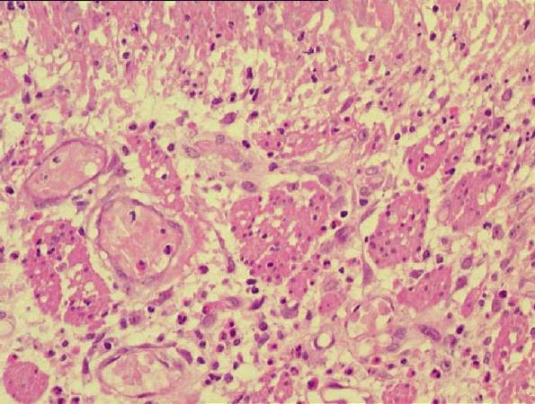
Magenulkus
<
>
X
Legende
Kapillarreiches Granulationsgewebe
MIKROPATHOLOGIE
MAKROPATHOLOGIE
W
E
I
T
E
R
E
V
E
R
G
R
Ö
S
S
E
R
U
N
G
E
N
>
Fibrin und Granulozyten