
Definition:
Durch Hypoxie und plötzliche Drucksteigerung entstandene Leberzellnekrosen
bei Rechtsherzversagen.
Makroskopie: An der Schnittfläche stellen sich die zentroacinären Läppchenabschnitte
als leicht eingesunkene dunkelrote Punkte dar. Bei schwerer chronischer Parenchymstauung
kommt es zum Konfluieren dieser dunklen Areale mit Ausbildung eines sog. Muskatnußmusters.
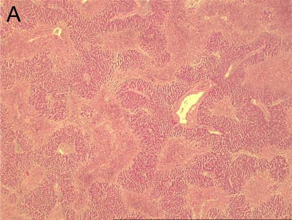
Histologie: Organdiagnose: Die normale Architektur der Leber mit
Leberzellbalken, Portalfeldern und Zentralvenen ist prinzipiell erhalten (A).
Pathologie: In den zentralen Abschnitten der Leberläppchen um die Zentralvenen
zeigt sich eine Leberzellnekrose mit Verlust der Kernfärbung, darüber hinaus
eine starke Blutfülle mit Erweiterung der Sinusoide, die strotzend mit Erythrozyten
gefüllt sind (G,F). Um die Portalfelder herum, die normale Gefäßanschnitte
und Gallengänge zeigen, findet sich meistens ein Saum erhaltener Hepatozyten
(A-F). Differentialdiagnose: Bei der Amyloidose der Leber zeigt sich
eine Ablagerung homogen-eosinophilen Materials im Disse'schen Raum, mit Atrophie
der Leberzellen, jedoch ohne Nekrosen.



