Leber, frische Stauungsnekrose

< >

 

Definition: Durch Hypoxie und plötzliche Drucksteigerung entstandene Leberzellnekrosen bei Rechtsherzversagen.
Makroskopie
: An der Schnittfläche stellen sich die zentroacinären Läppchenabschnitte als leicht eingesunkene dunkelrote Punkte dar. Bei schwerer chronischer Parenchymstauung kommt es zum Konfluieren dieser dunklen Areale mit Ausbildung eines sog. Muskatnußmusters.
Histologie
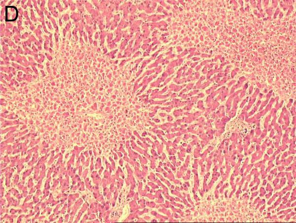
: Organdiagnose: Die normale Architektur der Leber mit Leberzellbalken, Portalfeldern und Zentralvenen ist prinzipiell erhalten (A).
Pathologie
: In den zentralen Abschnitten der Leberläppchen um die Zentralvenen zeigt sich eine Leberzellnekrose mit Verlust der Kernfärbung, darüber hinaus eine starke Blutfülle mit Erweiterung der Sinusoide, die strotzend mit Erythrozyten gefüllt sind (G,F). Um die Portalfelder herum, die normale Gefäßanschnitte und Gallengänge zeigen, findet sich meistens ein Saum erhaltener Hepatozyten (A-F). Differentialdiagnose: Bei der Amyloidose der Leber zeigt sich eine Ablagerung homogen-eosinophilen Materials im Disse'schen Raum, mit Atrophie der Leberzellen, jedoch ohne Nekrosen.

MIKROPATHOLOGIE
MAKROPATHOLOGIE