



ANAMNESE
/ KLINIK:
.....heute
BEFUND:
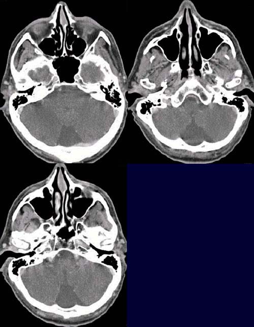
CCT nativ (ohne Kontrastmittel).
Weichteildichte
Verschattung
des Epitympanum und knöcherne
Destruktion des Innenohres auf der linken Seite (oberes Bild).
Ebenfalls weichteildichte Verschattung des Mesotympanum links ohne Destruktion
der Gehörknöchelchenkette (mittleren Bild). In der koronaren Rekonstruktion
ist die knöcherne Destruktion
des Tegmen tympani zu erkennen (mittleres Bild)
sowie das Cholesteatom
im Meso- und Epitympanum (unteres Bild).
DIAGNOSE:
C
DIFFERENTIALDIAGNOSE:
C
Informationen aus dem Internet:
1) ACR Learning file
2) MRI-Library




