



ANAMNESE
/ KLINIK:
Patient,
25 Jahre alt, Autounfall. Patient ist bewusstlos. Die klinische Untersuchung
zeigt ein leichtes Kalottenhämatom links.
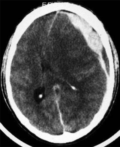
BEFUND:
CCT nativ (ohne Kontrastmittel)
Zwischen Kalotte und Hirnoberfläche sichelförmige,
hyperdense (60-80HE) Raumforderung frontal links.
Starke Mittellinienverlagerung nach
rechts. Verstrichene
Gyri.
DIAGNOSE:
Akutes Subduralhämatom parietofrontal links.
Konsekutiv raumfordernde Wirkung des Subduralhämatoms links mit Verlagerung
der Mittellinie nach rechts.
Hirnödem.
Informationen
aus dem Internet:
1) Uniklinik Saarland
2) PathoPic




