


ANAMNESE
/ KLINIK:
Patient mit Blutung peranal.
BEFUND:
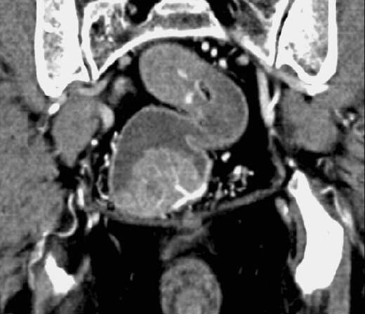
Abdominal
CT nach rektaler Füllung mit Wasser (negatives Kontrastmittel) und i.v.
Kontrastmittel.
Breitbasige sessile
Raumforderung bzw. Kontrastmittel-Aussparung des Rektums.
DIAGNOSE:
Rektum-Karzinom
DIFFERENTIALDIAGNOSE:
Rektum-Adenom
Informationen aus dem Internet:




