


ANAMNESE
/ KLINIK:
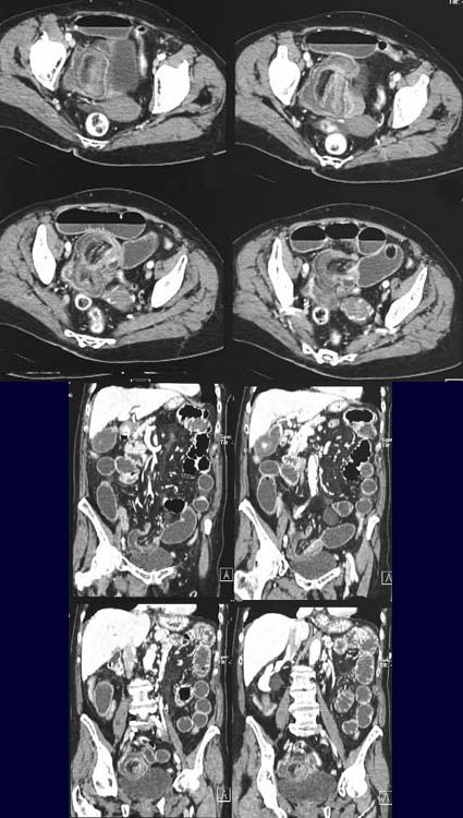
Patientin,
81 Jahre alt, mit starken abdominellen Beschwerden. Spiegelbildung ist in
der Abdomen-Übersichtsaufnahme zu erkennen.
BEFUND:
Sowohl
in der axialen Schnittführung als auch in den coronaren MPRs (multiplanare
Rekonstruktionen) lässt sich eine schießscheibenförmige
Raumforderung (Kokade) im Sinne ineinander gestülpter wandverdickter
(Ödem) Darmschlingen mit zentralem
mesenterialem Fettgewebe erkennen. Zusätzlich Spiegelbildung
im Dünndarm.
DIAGNOSE:
Invagination
Informationen
aus dem Internet:
1) Medicine worldwide
2) AWMF
3) AHC-Consilium




