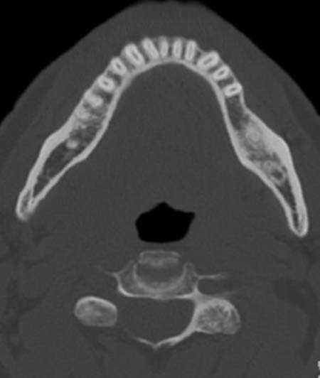
ANAMNESE
/ KLINIK:
Patientin, 46 Jahre alt, mit Schmerzen im Oberkiefer beim Kauen.
BEFUND:
Im
Knochenfenster des CT des Unterkiefers kommt links eine umschriebene
milchglasartige Verdichtung zur Darstellung.
DIAGNOSE:
ossifizierendes
Fibrom
DIFFERENTIALDIAGNOSE:
fibröse
Dysplasie, Zementofibrom
Informationen
aus dem Internet:
1) Amersham Health
2) Medecoinfo




