ANAMNESE
/ KLINIK:
37-jährige Patientin mit Z.n. radikaler Strumektomie bei Schilddrüsenkarzinom
vor 3 Jahren. Anschließende Radio-Jodtherapie. Seit einigen Wochen
zunehmende Schluckbeschwerden und beginnende Luftnot.
BEFUND:
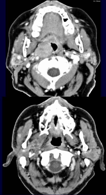
Im
CT-Schnitt durch die Mundhöhle nach Kontrastmittelgabe (oberes Bild)
kommt die rechte Tonsille vergrößert
und kontrastmittelaufnehmend zur Darstellung. In einem axialen Schnitt
weiter cranial kommt der M. pterygoideus rechts inhomogen
kontrastmittelaufnehmend und vergrößert zur Darstellung.
DIAGNOSE:
Schilddrüsen-Karzinom
Metastase
DIFFERENTIALDIAGNOSE:
Metastase
anderer Genese
Informationen
aus dem Internet:
1) Amersham Health
2) Medicine Worldwide
3) AWMF
4) Onkologie.de




