



CASE
HISTORY / CLINIC:
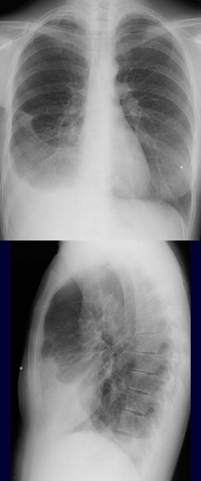
45-year-old female patient who had breast cancer two years ago.
FINDINGS:
Homogenous
shadow in the right costodiaphragmatic recess. Compare
the right with the left costodiaphragmatic angle. Homogenous
right paracardiac shadow in the right interlobar fissure stretching between
the middle and the lower lobes.
Take note of how the fluid
stretches in the interlobar fissure. Patient has had a right mastectomy -
compare the left
with the right rectangle. The nipple
marker on the left is not demonsrated on the right, likewise the breast
shadow on the left is
not seen on the right.
DIAGNOSIS:
Pleural
effusion in the right costodiaphragmatic recess and
status post right mastectomy.
Trapped
effusion with dystelectasis of the right middle and lower lobes as a
result of compression.
Web resources:
1) AHC-Consilium
2) RWTH Aachen
3) Chorus
4) Medicine worldwide
5) Learning radiology





