ANAMNESE
/ KLINIK:
Patient mit seit Jahren bestehender Hörminderung links.
Klinisch auf der rechten Seite kein Gehörgang erkennbar und Dysplasie
der Ohrmuschel. Links normale Verhältnisse.
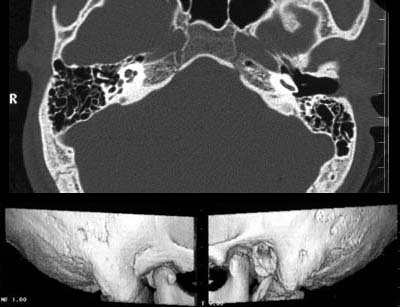
BEFUND:
Links
kommt ein normaler
äußerer Gehörgang zur Darstellung. Auf der rechten Seite kommt anstelle
eines äußeren Gehörganges nur eine knöcherne
Einsenkung zur Darstellung.
In den 3D-Reformationen stellt sich anatomisch links ein normaler
und anatomisch rechts ein aplastischer
äußerer Gehörgang dar.
DIAGNOSE:
Äüßere
Gehörgangsaplasie
Informationen
aus dem Internet:




